Next-gen RNA vaccines on the horizon
RNA vaccines on the horizon
Duke-NUS, Singapore General Hospital and Corti Therapeutics have signed an MOU to explore the use of Corti’s novel lipid nanoparticle technology in mRNA vaccines, enhancing RNA stability and delivery. The partnership signals Singapore’s commitment to staying at the forefront of innovation in mRNA-based therapies, beyond COVID-19.
“This partnership reaffirms our mission to transform medicine and improve lives. Together, we can accelerate the translation of scientific discovery into real-world health solutions.”
Professor Thomas Coffman, Dean of Duke-NUS
Waning Japanese encephalitis immunity linked to more severe dengue
Duke-NUS scientists, working with partners in Nepal, have shown that as protection from Japanese encephalitis virus (JEV) vaccination fades, the risk of severe dengue illness may increase. Published in Science Translational Medicine, the study tracked more than 500 patients and found that moderate JEV antibody levels were linked to more severe dengue symptoms. The findings point to new ways of reducing dengue risks through vaccination strategies.
“This discovery matters for countries like Nepal and across Asia where both viruses circulate. It also highlights the need to keep JEV protection strong, through well-timed booster shots.”
Associate Professor Ashley St John
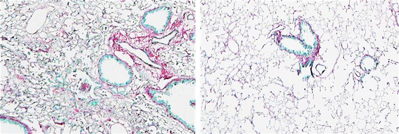
US$1.5m boost for Duke-NUS drug discovery platform targeting fibrosis
Lung tissue showing scarring in an induced fibrosis model (right); while WWP2 inhibition protects tissue structure from fibrosis (left) // Credit: Courtesy of Chen Huimei, Duke-NUS Medical School
65LAB has awarded US$1.5 million to Professor Enrico Petretto at Duke-NUS Medical School to advance a computational platform aimed at developing new antifibrotic drugs for lung and kidney diseases. The platform, called Systems Genetics, integrates AI and quantum computing to accelerate the discovery of first-in-class therapies for conditions with no effective treatment. Additional support from Duke-NUS’ LIVE Ventures will help bridge the path from lab to clinic.
“These compounds block a key fibrosis gene and showed a 50 per cent reduction in tissue scarring in pre-clinical studies.”
Professor Enrico Petretto
Project lead
Duke-NUS Class of 2029 brings diversity and determination to medicine
Aspiring doctors from the Class of 2029 celebrate the beginning of their healthcare journey. // Credit: Duke-NUS Medical School
Duke-NUS Medical School welcomed 78 new students at its 19th White Coat Ceremony on 8 August, marking the start of their journey as future doctors. The Class of 2029 reflects the School’s distinct graduate-entry model: 46 students have pivoted from careers in law, software engineering and other fields. The cohort also includes the School’s first pair of twin sisters.
“By welcoming students with many academic backgrounds and life experiences, we bring together diverse minds united by a shared purpose—to serve, to heal and to improve health.”
Professor Thomas Coffman
Dean of Duke-NUS
Gut cells found to ‘whisper’ like neurons, reshaping science of repair
Scientists from Duke-NUS Medical School and NTU Singapore have discovered that gut support cells, known as telocytes, deliver signals to stem cells with neuron-like precision. Published in Developmental Cell, the study overturns long-held beliefs that chemical signals simply diffused through tissue, showing instead that telocytes use long extensions, or cytonemes, to pass instructions directly. This finding opens new avenues for regenerative medicine and the treatment of diseases like colon cancer and IBD.
“We discovered that these signals aren’t just drifting through tissue. They’re being delivered with surprising precision.”
Professor David Virshup
Former Director of Duke-NUS’s Programme in Cancer and Stem Cell Biology.

