Past Issues

Go

Ashley St. John: Unmasking the immune system’s silent sentinels

From mast cells to major discoveries, immunologist and emerging infectious diseases scientist Ashley St. John is reshaping how we understand our body’s first responders

By Dr Chua Li Min, Science writer

That moment when the data clicks: Assoc Prof Ashley St. John (centre) pictured here with MD-PhD student Ms Monica Palanichamy Kala (right) and PhD student Ms Rose Tung Chi-Ching in the lab // Credit: Duke-NUS

For immunologist Ashley St. John, science doesn’t begin and end in the lab.

Whether she’s scribbling ideas mid-lunch with fellow researchers or pulling a late-night writing sprint after a spark of inspiration, St. John lives and breathes her work. Her trusty, ever-present notebook, she admits, is less a tool and more an extension of herself.

Science, for her, weaves through her day-to-day work as an associate professor with Duke-NUS’ Emerging Infectious Diseases (EID) Programme.

That’s also the reason why she is always ready to jump on a call with collaborator-turned-friends when they want to share exciting findings.

“Being a scientist is more than a full-time job. I think it’s really an immersive profession where you don’t turn it off or on,” said St. John.

Professor Lok Shee Mei, a colleague and collaborator, observed: “She possesses that rare fire in the belly to tackle the important questions in flavivirology, particularly in trying to understand the immune responses during dengue or zika virus infections. And that kind of passion makes all the difference.”

 

“I always had an interest in science”

“I don’t remember the particular details of why,” mused St. John, reflecting on the moment her passion for science ignited. “I just always had an interest in science.”

“It was exciting to hear different stories every day, of what others were doing. I wanted to be part of a community where people were asking important questions about health. I enjoyed not only the process of doing research, but also the community and culture around it.“

To her family and the people around her, that interest shone through in bursts of excitement that St. John showed over insects as a child and as she volunteered at the lab in high school.

Her first experiment? Isolating DNA from plants—an experience that the young science student jumped right into.

“That’s when I realised I like working in the lab. I find it relaxing in the same way some might find cooking or craft work relaxing,” said St. John.

It was only natural for St John to study Biology when she embarked on her undergraduate studies at the Georgia Institute of Technology, where she actively sought adventures in the lab.

 

From fine sediments to tiny viruses

One of her projects involved working at an oceanography lab, where St. John interned.

Tasked to measure the composition of materials collected from the ocean bed, she had to prepare the samples before they could be analysed on a mass spectrometer. “I would spend hours each week weighing different sediments into like a 96-well plate,” she recalled.

That experience was a watershed moment for St. John, prompting her to search for her calling elsewhere. 

“I was learning about exciting things in my classes that weren’t representative of the pace of the lab I was in. I wanted to do something more exciting.”

She found that in the field of immunology and infectious diseases.

I thought it was really cool…that things make you sick that you can’t even see, the idea that you can use a microscope and zoom in and see like a whole new world.”

That desire led St. John to take up a part-time position at a lab in Emory University in Atlanta that worked on the HIV virus, a commitment she took on willingly even though it offered her no course credits.

“I was just driving across Atlanta to get to the lab. While it wasn’t that far, traffic can be crazy. I remember spending a lot of time in traffic some days,” said St. John.

Despite the hassle getting there, St. John happily immersed herself in the lab once she was there.

“It was exciting to hear different stories every day, of what others were doing. I wanted to be part of a community where people were asking important questions about health. I enjoyed not only the process of doing research, but also the community and culture around it,” she said.

Cultivating the virus meant stepping into a Biosafety Level 3 lab designed for research involving microbes that can cause serious diseases, St. John was unfazed: “If you understand the science, then you know you’re safe in this kind of environment.”

It was also around this time that she developed a deeper interest in understanding the body’s immune system.

“That made me realise that going to graduate school would be a good direction for me,” said St. John, who applied to the immunology programme at the Duke School of Medicine in Durham, North Carolina.

 

Chasing the athletes of the immune system

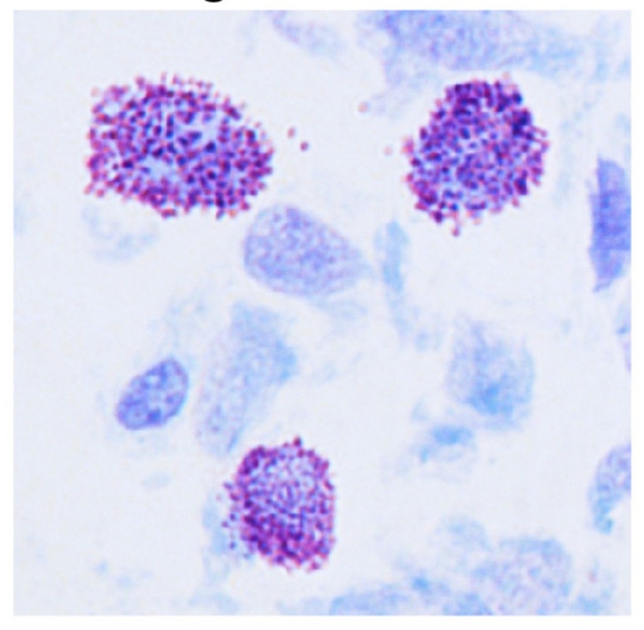
A close-up image of mast cells with their granules under the microscope // Credit: Abhay Rathore
A close-up image of mast cells with their granules under the microscope // Credit: Abhay Rathore

After a few lab rotations, St. John eventually joined Professor Soman Abraham’s lab, whose team focused on studying mast cells, in addition to interactions between pathogenic bacteria and immune cells.

“I was interested in the research, but I also chose the lab because I felt I would be given a lot of freedom to explore different topics,” recalled St. John, whose PhD project involved studying the effects of infectious bacteria such as Salmonella on the immune system.

Captivated by the array of tools and reagents available in the lab for studying mast cells, St. John couldn’t resist exciting possibilities in side projects on the very cells: “Mast cells are just beautiful cells under the microscope. Because they have all these granules, you can visualise them using specialised stains.” 

Otherwise, it’s easy to miss them, despite their large size compared to other immune cells.

“We don’t think of them that much, but they are extremely evolutionarily conserved,” explained St. John. “And they are very good at recovering, surviving and repairing themselves…so I think it's interesting to look at a cell that has a long lifespan.”

Even after 15 years studying them, St. John remains fascinated by these unique properties of mast cells.

“They’re kind of like athletes of the immunology world in the sense that they’re very impressive. They respond so fast to release all these granules when they encounter a threat,” said St. John, whose lab mission is to chase down the cells’ many mysteries.

 

From Durham to Singapore

Just as it seemed like St. John was on the home stretch of her training, an unexpected opportunity came knocking—one that set her on a whole new learning adventure.

Her mentor asked if she’d like to go on an exchange to a new medical school, where she would help with starting up a second lab.

“I jumped at the opportunity, because I knew I eventually wanted to start my own lab,” said St. John.

St. John retraces her journey to Duke-NUS at “The arc of Duke-NUS Science” symposium in April this year // Credit: Duke-NUS
St. John retraces her journey to Duke-NUS at “The arc of Duke-NUS Science” symposium in April this year // Credit: Duke-NUS

Even though that meant having to hop on a 26-hour flight all the way from Durham to Singapore.

That is how her path first crossed with Duke-NUS.

Although the lab was completely empty when she arrived, St. John got to work right away, making decisions—which reagents to purchase, where to keep the equipment, and so forth. 

“I enjoyed the process, and it taught me a lot. It gives you a very different perspective than a PhD student usually gets, and I think it was a testing ground for me to see if I would enjoy the responsibility of managing a lab eventually.”

That experience at Duke-NUS marked St. John’s last year as a PhD student.

After defending her thesis six months later, she returned to Duke-NUS in 2010—this time for her postdoctoral training.

“I really liked the scientific culture here. It has a hopefulness to it… people are very active—and there was the encouragement to go big,” said St. John.

 

When a mast cell meets a virus

“One of the very first questions I wanted to answer at Duke-NUS was whether mast cells can detect viral pathogens,” recalled St. John.

While there were studies already done on how other immune cells reacted in the presence of viruses, the existing literature on mast cells was lacking.

Leveraging the expertise of fellow researchers at the Programme, St. John focused her efforts on mast cells and dengue, a disease that was endemic in the region.

“We made a lot of really exciting discoveries,” said St. John. “We were the first to report that mast cells degranulate to release all of the mediators packed in their granules in response to a viral pathogen. Nobody had seen that happening before.”

This memorable discovery, among others, made St. John realise there were many unanswered questions in the field, along with opportunities to translate these findings into therapeutics that could help patients one day.

So she applied to stay in the Programme as a junior faculty member: “I wanted to continue my research and Duke-NUS was the best place to answer these questions.”

Impressed by St. John’s performance as a research fellow, then programme director, Professor Wang Linfa brought her onboard:

“As a fresh research fellow working in an immunology lab where the principal investigator (PI) is based in Duke Durham, she demonstrated an exceptional ability to conduct scientific research, communicate science and play a leadership role within the team.” 

Added Wang: “She was the first PI recruited within the Programme under my directorship. She was able to attract good quality students from the very beginning as a new PI, which is not easy.  So I knew she would have a great career path ahead.”

 

Growing roots at Duke-NUS

Since establishing her lab in 2014, St. John has built a dynamic research group that now includes 15 members, with five students under her supervision and mentorship, and five alumni who have since graduated.

While mast cells and flaviviruses remain central to her work, she has also expanded her research portfolio into areas such as understanding the immune responses underlying allergies.

In 2024, her project on childhood allergies was awarded S$1 million by the Tanoto Foundation Medical Research Fund for further development.

“I like balancing my research, focusing on not just infectious diseases but also tackling everyday problems,” she explained.

When St. John is not in her office, she can be found in the lab, where she remains deeply embedded in the day-to-day activities of her team.

Far from being a distant PI, she spends most of her time working closely with her team—discussing experimental design, planning research projects, analysing data and co-authoring papers.

Whether it’s exploring new questions or troubleshooting experiments, St. John’s leadership is grounded in active scientific engagement and mentorship, and her lab members and students know they can approach her whenever they run into problems with their research.  

“Despite her incredibly busy schedule, she always makes time to teach and guide her students. I still remember how she personally taught me to analyse flow cytometry data during my rotation—it left a deep impression on me. Since then, she has continued to be a steady source of support, always available to discuss data and offer guidance whenever I’ve needed it,” recalled MD-PhD student, Ms Monica Palanichamy Kala

And when new students come to her expressing an interest in pursuing their PhD under her, St. John takes the time to understand their interests before finalising the details of their research project.

“I think it’s important to give people projects at their stage where they can participate and learn when analysing data. You have to think of a project that’s not just helping you, but the student as well,” she explained.

The St John lab shares a group photo at the Granulocyte Meeting in 2023
The St. John lab shares a group photo at the Granulocyte Meeting in 2023 // Credit: Courtesy of St John. Lab

But beyond imparting the technical know-how to her students, it is St. John’s support and advice that have left a lasting impression and legacy.

Added Monica: “When I returned from maternity leave, I was overwhelmed and discouraged by how much time I had lost on my project. Prof Ashley gently reminded me that it was okay to leave the past behind and helped me move forward with renewed focus—guiding me to identify the key experiments that would drive my work ahead. Her unwavering support helped me rebuild my confidence as a scientist. If I had to choose my PhD mentor all over again, I would choose Prof Ashley every single time.”

With accolades such as the National Research Foundation Award and the NUS Young Researcher Award to her name, St. John continues to push scientific boundaries.

But ask her if she’s arrived, and she gently shakes her head: “There’s always a new question just over in the horizon. That’s the beauty of science.”

And her advice to young scientists?

“Find your people. Collaboration is what keeps this journey from being a solitary one—and what often makes it the most rewarding.”

Get the latest news and features delivered to your inbox.

Browser not supported

Modern websites need modern browsers

To enjoy the full experience, please upgrade your browser

Try this browser